Hava Durumu
Türkçe
English
Русский
Français
العربية
Deutsch
Español
日本語
中文
Türkçe
English
Русский
Français
العربية
Deutsch
Español
日本語
中文

Bu kadarına da pes: Midelerinden 10 parça halinde uyuşturucu çıktı

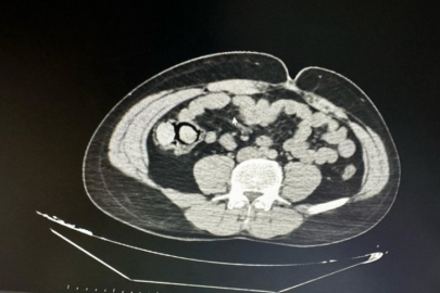
Bingöl'de akıllara durgunluk veren bir olay gerçekleşti. Otobüs yolculuğu sırasında polis ekiplerince durdurulan yabancı uyruklu iki şahsın midesinden 10 parça halinde 113 gram metamfetamin çıktı.

Haber Giriş Tarihi: 12.04.2025 16:51
Haber Güncellenme Tarihi: 12.04.2025 16:52
Kaynak: Haber Merkezi
ogaste.com
Bu kadarına da pes: Midelerinden 10 parça halinde uyuşturucu çıktı

Bingöl Emniyet Müdürlüğü Narkotik Suçlarla Mücadele Şube Müdürlüğüne bağlı narko-timleri akıllara durgunluk veren bir uyuşturucu kaçakçılığını çözdü. Ekiplerin çalışmaları neticesinde otobüs ile Bingöl'e gelen şüpheli yabancı uyruklu 2 şahsın iç beden muayenesinde 10 parça halinde 113 gram metamfetamin maddesi tespit edildi. Emniyetteki işlemlerinin ardından mahkemeye çıkarılan 2 şahıs, uyuşturucu madde ticareti yapmak suçundan tutuklanarak Elazığ Kapalı ceza infaz kurumuna teslim edildi.

Yorum Ekle
Gönderilen yorumların küfür, hakaret ve suç unsuru içermemesi gerektiğini okurlarımıza önemle hatırlatırız!
Yorumlar (0)
logo
En son gelişmelerden anında haberdar olmak için 'İZİN VER' butonuna tıklayınız.